Orthodontics
Appliances

Habit Control

It is important to intercept and discourage harmful dental habits that may effect your child's growth potential. Children who continue to suck thumbs or pacifiers after the age of five are at high-risk for developing dental complications. Grinding habit can shorten and blunt the teeth which can lead to headaches, muscle pain and stunted jaw growth. Regularly scheduled dental visits allow us to teach effective oral hygiene and monitor jaw and mouth development for the best.

Thumb Sucking Appliance

Prolonged thumb and finger sucking in children can cause malocclusion (an improper bite). The vast majority of children can break the habit naturally or through positive parental guidance and at-home modalities. If it continues beyond toddlerhood, parents may get worried and want to know, "How do I stop my child's thumb sucking?"

The good news is that we have a solution here. The habit-breaking appliance is the last resort for kiddos who have difficulty stopping the habit when all else fails.

At Azari & Zahedi Dentistry, we have designed this variation of bluegrass appliance that can be advantageous even for the most challenging cases.

  • Serve as a reminder.
  • Friendly and toy-like design.
  • Tongue playing with the roller is a pleasant alternative for thumb sucking.
  • Help tongue adopts a high position that, in turn, will develop the narrow upper jaw.



Lip Bumper Appliance

Lip sucking is another habit in children that can cause increased overjet by protruding upper front teeth and pushing back lower front teeth. It also makes the lower lip irritated, itchy, and dry. You can help your kid break the habit by applying an ice pack, moisturizing lips with soothing cream, distraction, and positive behavioral guidance. Sometimes the lip is trapped between the upper and lower teeth, and we have to intervene the situation.

Lip Bumper can help your child in the following ways:

  • Reduce lower teeth crowding.
  • Increase arch circumference.
  • Remove the pressure of the lip and cheek on the lower teeth so they snap forward to a normal position.
  • Young children tolerate the appliance very well.



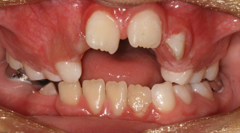
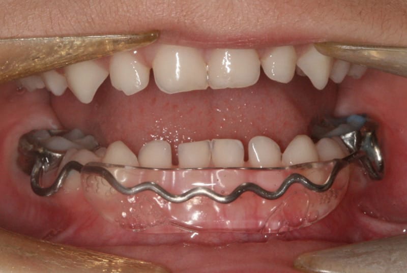
Space Maintainer

A space maintainer is a removable or fixed appliance designed to maintain an existing space. They are usually fitted to children when they have lost baby teeth early. The gap left from losing this tooth needs to be held open for the permanent tooth to erupt in its correct position.

Palatal Expander

A palatal expander is an appliance placed in the roof of the mouth to widen the upper dental arch, which allows the arch to be painlessly separated and spread. A treatment used for younger patients. Many times a palatal expander can be used to create a proper alignment of the arches so permanent teeth have room to erupt in a natural position. Often, the use of an arch expander early may eliminate the need for braces later.

Bruxism

Bruxism, or the grinding of teeth, is remarkably common in children and adults. For some children, this tooth grinding is limited to daytime hours, but nighttime grinding (during sleep) is most prevalent. Bruxism can lead to a wide range of dental problems, depending on the frequency of the behavior and the underlying causes and intensity of the grinding.

A wide range of psychological, physiological, and physical factors may lead children to brux. In particular, jaw misalignment (bad bite), stress, and traumatic brain injury are all thought to contribute to bruxism, although grinding can also occur as a side effect of certain medications.